Τηλεφωνήστε

6937 321993, 2810 222228

Οδοντική Χειρουργική

Οδοντική Χειρουργική

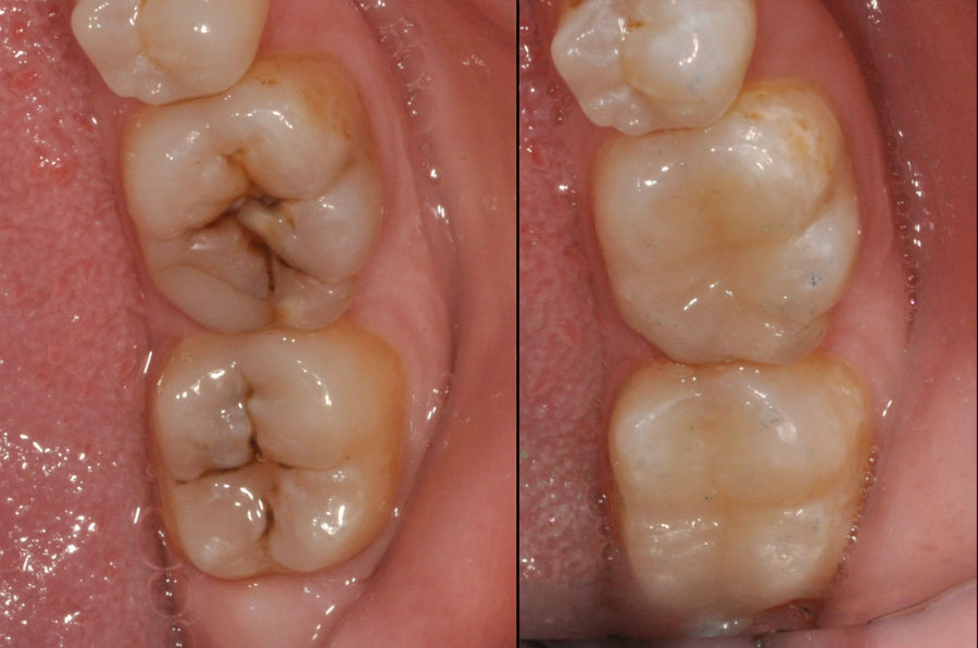
Οδοντική χειρουργική είναι ο κλάδος της οδοντιατρικής που ασχολείται με τις παθήσεις των σκληρών οδοντικών ουσιών (αδαμαντίνη, οδοντίνη και οστεϊνη). Βασικός τομέας ενασχόλησης είναι η διάγνωση και θεραπεία της τερηδόνας. Ωστόσο, το πεδίο της οδοντικής χειρουργικής επεκτείνεται στη διάγνωση και αποκατάσταση των αυχενικών διαβρώσεων, της αποτριβής των δοντιών και των συγγενών ανωμαλιών των σκληρών οδοντικών ουσιών. Άλλοι τομείς ενασχόλησης αποτελούν η λεύκανση των δοντιών και η αισθητική οδοντιατρική.

 

Δείτε φωτογραφίες στο Πριν & Μετά