Τηλεφωνήστε

6937 321993, 2810 222228

Άρθρα

ΟΛΑ ΠΟΥ ΠΡΕΠΕΙ ΝΑ ΓΝΩΡΙΖΕΤΕ ΓΙΑ ΤΟΥΣ ΦΡΟΝΙΜΙΤΕΣ

   Οι φρονιμίτες ή σωφρονιστήρες είναι οι τρίτοι γομφίοι, τα τελευταία δηλαδή δοντια που ανατέλλουν συνήθως στην εφηβεία στο πίσω μέρος του στόματος. Τις περισσότερες φορές είναι τέσσερις ένας στην κάθε πλευρά πάνω και κάτω. Υπάρχουν όμως και κάποιες φορές που λείπουν ένας ή και περισσότεροι φρονιμίτες, όπως επείσης…

Περισσότερα »

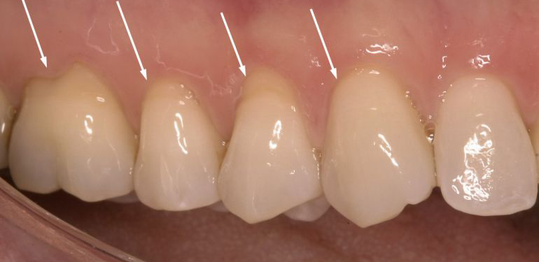
ΥΦΙΖΗΣΗ-ΠΤΩΣΗ ΤΩΝ ΟΥΛΩΝ ΑΙΤΙΕΣ ΚΑΙ ΘΕΡΑΠΕΙΑ

Μπορεί να έχετε ένα φαινομενικά υγιές στόμα και να κάνετε σωστή και ολοκληρωμένη στοματική υγιεινή αλλά να βλέπετε ότι τα ούλα αρχίζουν σιγά-σιγά να υποχωρούν. Τα υγιή ούλα σχηματίζουν ένα προστατευτικό κολάρο γύρω από το δόντι. Όταν τα ούλα υποχωρούν και αποκαλύπτεται η ρίζα του δοντιού Μπορεί να εμφανιστεί…

Περισσότερα »

Η ΚΑΚΟΣΜΙΑ ΤΟΥ ΣΤΟΜΑΤΟΣ

Ένα,όχι ασυνήθιστο,πρόβλημα που απασχολεί τους ενήλικες,όσο και τα παιδιά,είναι η κακοσμία του στόματος.Τα αίτια της κακοσμίας του στόματος είναι ποικίλα,με την πλειονότητα αυτών (90%) , να αφορούν τοπικά την στοματική κοιλότητα.

    Οι πιο σημαντικοί παράγοντες που σχετίζονται με τη διατήρηση ή διαταραχή της φυσιολογικής οσμής της στοματικής αναπνοής…

Περισσότερα »